Prettau Zirconia Crowns by JU Genesis LAB | JU Dental LAB

Prettau Zirconia Crowns

The Prettau Zirconia is a premium zirconia block made in Italy.

We Also Offer

Prettau Zirconia Crowns by JU Genesis LAB | JU Dental LAB
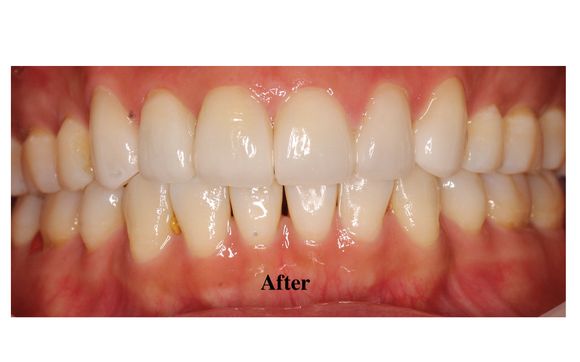
This is Prettau Zirconia Crowns. The Prettau Zirconia Crown is a premium zirconia made in Italy.
About Us
JU Dental Lab, based in Laguna Hills, California, is an industry-leading provider of high-quality dental lab products and services to dental professionals nationwide. Established in January 2010 by...(more)